Дифтерия — опасное инфекционное заболевание, способное вызвать серьезные осложнения и даже смерть, особенно у детей и людей с ослабленным иммунитетом. В статье рассмотрим основные меры профилактики, которые помогут защитить вас и ваших близких. Вакцинация и соблюдение гигиенических норм являются ключевыми для поддержания здоровья и безопасности.
Как распознать заболевание?
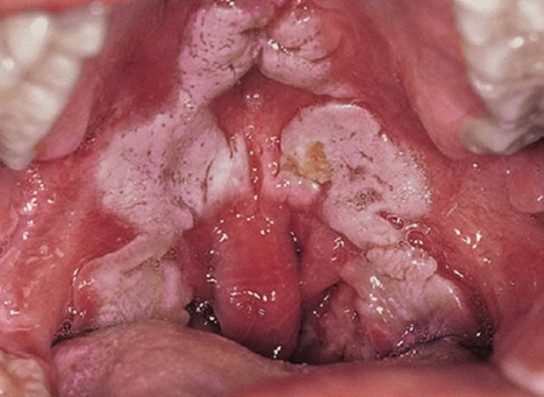
Токсины, выделяющиеся в процессе инфицирования, оказывают негативное воздействие на нервную систему и сердце, что может привести к параличу. Клинические проявления заболевания разнообразны, и только квалифицированный специалист способен точно установить диагноз.
Признаки дифтерии:
- повышение температуры тела;
- бледность кожных покровов;
- постоянная усталость;
- отечность пораженных тканей;
- незначительная боль в горле, усиливающаяся при глотании;
- увеличение миндалин;
- отек слизистой глотки с признаками гиперемии;
- налет в виде пленки на пораженных участках слизистой оболочки;
- увеличение шейных лимфатических узлов.
При возникновении указанных симптомов крайне важно вызвать скорую помощь, которая доставит пациента в медицинское учреждение. При необходимости будет организована консультация хирурга, невролога, офтальмолога, ЛОР-врача или гинеколога.

Опасность дифтерии
Опасность дифтерии заключается не в проявлениях болезни, а в токсинах, выделяемых дифтерийной палочкой. Эти токсины наносят серьезный вред организму, и риск возникновения осложнений может достигать 50-100%.
Возможные последствия заболевания:
- инфекционно-токсический шок;
- синдром Дауна;
- миокардиты;
- поли- или мононевриты;
- нефроз;
- поражение надпочечников;
- учащенное дыхание, одышка;
- нарушения в работе сердечно-сосудистой системы;
- отит;
- пневмония;
- паратонзиллярный абсцесс и другие.
Лечение дифтерии должно проводиться в условиях стационара, так как риск заражения окружающих очень высок. Токсические миокардиты могут проявиться даже спустя три месяца после полного выздоровления.
Важно! Антибиотики неэффективны при лечении дифтерии.
Врач может назначить их для предотвращения сопутствующих бактериальных инфекций. Основным средством против коринебактерии является антитоксическая дифтерийная сыворотка. Осложнения, возникающие при дифтерии, могут включать поражение нервной системы и обширные отеки гортани и слизистой носа.
Пациентам с дифтерией рекомендуется соблюдать постельный режим, регулярно проветривать помещение, поддерживать высокую влажность и проводить ингаляции с щелочными растворами. Важно следить за дыханием, а при ухудшении состояния, связанном с гипоксией, следует применять искусственную вентиляцию легких с увлажненным кислородом.
| Мера профилактики | Описание | Важность |
|---|---|---|
| Вакцинация | Самый эффективный способ защиты. Вакцинация проводится в детстве по национальному календарю прививок, а затем требуется ревакцинация каждые 10 лет. | Крайне высокая |
| Соблюдение гигиены | Регулярное мытье рук с мылом, особенно после посещения общественных мест, перед едой и после кашля/чихания. | Высокая |
| Избегание контакта с больными | По возможности избегать близкого контакта с людьми, у которых есть симптомы респираторных заболеваний (кашель, насморк, боль в горле). | Высокая |
| Использование масок | В случае контакта с больным или при нахождении в местах скопления людей, особенно в период эпидемий, рекомендуется носить медицинскую маску. | Средняя |
| Укрепление иммунитета | Здоровый образ жизни: сбалансированное питание, достаточный сон, умеренные физические нагрузки, отказ от вредных привычек. | Средняя |
| Своевременное обращение к врачу | При появлении симптомов, похожих на дифтерию (боль в горле, затрудненное глотание, лихорадка, увеличение лимфоузлов), немедленно обратиться за медицинской помощью. | Крайне высокая |
| Изоляция больных | В случае выявления дифтерии, больной должен быть изолирован для предотвращения распространения инфекции. | Крайне высокая |
Что нужно сделать чтобы не заболеть дифтерией?
Основным и наиболее эффективным способом предотвращения данного заболевания является регулярная вакцинация всего населения страны. Это позволяет формировать более устойчивый иммунитет к дифтерии.
Однако это не означает, что люди полностью избавятся от болезни или инфекция исчезнет. Скорее, заболевание будет встречаться реже и протекать в более легкой форме. Вакцинация осуществляется с использованием прививок, содержащих антитоксический дифтерийный анатоксин.
Вакцинировать детей следует начинать с трех месяцев, а затем повторять процедуру каждые два месяца. Первая ревакцинация проводится через год, а затем каждые 10 лет до достижения 56-летнего возраста.
Статистические данные: до появления антитоксической дифтерийной сыворотки уровень смертности от дифтерии составлял 50-60%. После внедрения вакцины этот показатель снизился на 20% среди взрослых и на 10% среди детей. Таким образом, 40-30% заболевших все еще умирает от дифтерии.
Пациент представляет опасность для окружающих на протяжении всего периода болезни, вплоть до полного исчезновения клинических симптомов. Этот период может длиться около трех месяцев после выздоровления.
Дополнительные методы профилактики дифтерии:
- изоляция заболевших;
- дезинфекция в помещениях, где находился больной;
- обследование всех, кто контактировал с заболевшим;
- наблюдение за переболевшими;
- выявление и лечение носителей дифтерийной палочки;
- контроль и мазки из миндалин у пациентов с ангиной.
Существует вероятность повторного заболевания дифтерией, так как эта инфекция не формирует стойкий иммунитет. После перенесенной болезни уровень антител в крови увеличивается, и на начальном этапе они могут защитить от инфекции, но со временем их эффективность снижается. Повторное заболевание может произойти через 10 лет.
Дифтерия является крайне опасным и одним из самых серьезных инфекционных заболеваний, требующим повышенного внимания и осторожности. Вакцинация обязательна, хотя она и не гарантирует полную защиту от болезни. Тем не менее, в случае заражения, заболевание будет протекать значительно легче, так как иммунитет уже будет подготовлен.
https://youtube.com/watch?v=68ri5_Ju-rY

Интересные факты
Вот несколько интересных фактов о том, как предотвратить заболевание дифтерией:
-
Вакцинация: Основным способом профилактики дифтерии является вакцинация. Вакцина против дифтерии обычно входит в состав комбинированных вакцин, таких как АКДС (против коклюша, дифтерии и столбняка). Вакцинация проводится в детском возрасте и требует ревакцинации каждые 10 лет для поддержания иммунитета.
-
Гигиена: Соблюдение правил личной гигиены, таких как регулярное мытье рук и использование индивидуальных предметов гигиены, может снизить риск заражения. Дифтерия передается воздушно-капельным путем, поэтому важно избегать близкого контакта с больными людьми.
-
Общественное здоровье: В странах с высоким уровнем вакцинации и хорошими условиями здравоохранения случаи дифтерии крайне редки. Это подчеркивает важность коллективного иммунитета: чем больше людей вакцинировано, тем меньше вероятность распространения инфекции в обществе.


