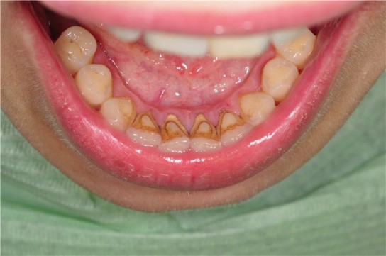
Кровоточащие десна — распространенная проблема, сигнализирующая о заболеваниях полости рта, таких как гингивит и пародонтит. Игнорирование этого симптома может привести к серьезным последствиям для здоровья зубов и десен. В статье рассмотрим причины кровоточивости десен и эффективные методы лечения и профилактики, что поможет сохранить здоровье полости рта и избежать осложнений.
Причины кровоточивости десен
Согласно статистике, каждый третий человек сталкивается с проблемой кровоточивости десен. Основной причиной, вызывающей воспаление и, как следствие, кровоточивость, является неправильно подобранные средства для гигиены полости рта.
Это может быть связано с использованием слишком жесткой зубной щетки или слишком толстой зубной нити. При выборе средств для ухода за полостью рта не стоит ориентироваться на привлекательный дизайн зубной щетки, который гармонирует с интерьером вашей ванной комнаты, или на вкусовые добавки в зубной пасте.
Не менее важным аспектом при чистке зубов является тщательность и продолжительность этой ежедневной процедуры. Неправильное выполнение может привести к тому, что оставшийся зубной налет за тридцать часов превращается в зубной камень, который разрушает эмаль зуба и увеличивает риск развития кариеса.
Кроме того, кровоточивость десен может быть связана с изменениями в гормональном фоне, поэтому беременные и недавно родившие женщины часто сталкиваются с этой проблемой. Недостаток витамина К также может стать причиной заболеваний десен.

Что делать с кровоточивостью десен?
Определив причины проблемы, можно попытаться самостоятельно справиться с болезненными деснами. Для этого обычно применяются доступные средства, которые легко найти в аптеке, такие как ромашка, кора дуба, шалфей и крапива. Из этих трав готовят отвар.
| Причина кровоточивости десен | Что делать (первая помощь) | Рекомендуемое лечение/Дальнейшие действия |
|---|---|---|
| Гингивит (воспаление десен) | — Тщательная, но бережная чистка зубов мягкой щеткой. — Использование ополаскивателей для рта с антисептическим эффектом (например, с хлоргексидином, но не дольше 7-10 дней без консультации). — Отказ от курения. |
— Профессиональная гигиена полости рта (удаление зубного налета и камня) у стоматолога. — Обучение правильной технике чистки зубов. — Использование зубной нити. — В некоторых случаях — местные противовоспалительные гели или мази. |
| Пародонтит (запущенный гингивит с поражением костной ткани) | — Немедленное обращение к стоматологу. — Поддержание максимально возможной гигиены полости рта. — Избегание травмирования десен. |
— Комплексное пародонтологическое лечение (глубокая чистка, кюретаж, возможно, хирургические методы). — Антибиотикотерапия (при необходимости). — Регулярные поддерживающие визиты к пародонтологу. |
| Неправильная техника чистки зубов/жесткая зубная щетка | — Замена зубной щетки на мягкую или средней жесткости. — Обучение правильной технике чистки зубов (круговые или выметающие движения, без сильного давления). |
— Консультация стоматолога или гигиениста для демонстрации правильной техники. — Использование электрической зубной щетки с датчиком давления. |
| Недостаток витаминов (особенно С и К) | — Увеличение потребления продуктов, богатых витаминами С (цитрусовые, киви, болгарский перец) и К (зеленые листовые овощи). — Прием витаминных комплексов (после консультации с врачом). |
— Консультация с терапевтом или диетологом для коррекции рациона. — Анализы крови для определения уровня витаминов. |
| Гормональные изменения (беременность, пубертат) | — Усиленная гигиена полости рта. — Использование ополаскивателей для рта без спирта. — Регулярные осмотры у стоматолога. |
— Профессиональная гигиена полости рта. — Стоматолог может рекомендовать специальные средства для ухода. — Состояние обычно нормализуется после окончания гормональных изменений. |
| Прием некоторых лекарств (антикоагулянты, некоторые антидепрессанты) | — Сообщить лечащему врачу о кровоточивости десен. — Не прекращать прием лекарств самостоятельно. — Усиленная, но бережная гигиена полости рта. |
— Врач может скорректировать дозировку или заменить препарат. — Регулярные осмотры у стоматолога для контроля состояния десен. |
| Травма десны (острая пища, неправильно установленная пломба/коронка) | — Избегать травмирующей пищи. — Использовать мягкую зубную щетку. — Обратиться к стоматологу для осмотра. |
— Коррекция или замена пломбы/коронки. — Удаление инородного тела. — Лечение травмированной десны. |
| Общие заболевания (сахарный диабет, заболевания крови) | — Немедленное обращение к лечащему врачу. — Поддержание максимально возможной гигиены полости рта. |
— Лечение основного заболевания. — Совместное ведение пациента стоматологом и профильным специалистом. — Специальные рекомендации по уходу за полостью рта. |
Интересные факты
Вот несколько интересных фактов о кровоточащих деснах и их лечении:
-
Признак заболеваний: Кровоточащие десна часто являются первым признаком заболеваний десен, таких как гингивит и пародонтит. Эти состояния могут развиваться из-за накопления зубного налета и бактерий, что подчеркивает важность регулярной гигиены полости рта.
-
Влияние на общее здоровье: Исследования показывают, что заболевания десен могут быть связаны с другими серьезными заболеваниями, такими как диабет, сердечно-сосудистые заболевания и даже некоторые виды рака. Это делает здоровье десен важным аспектом общего состояния организма.
-
Эффективные методы лечения: Лечение кровоточащих десен может включать не только профессиональную чистку у стоматолога, но и изменение привычек в уходе за полостью рта. Использование зубной нити, антисептических ополаскивателей и регулярные визиты к стоматологу могут значительно улучшить состояние десен и предотвратить дальнейшие проблемы.

Полоскание ротовой полости
Травы можно применять как в одиночку, так и в комбинации. Рекомендуется полоскать рот отваром после каждого приема пищи, а также утром и перед сном. Главное правило – отвар должен быть теплым. Время от времени отвар трав можно заменять раствором соли и соды.
Настой или экстракт водяного перца также проявляет свою эффективность, так как способствует улучшению свертываемости крови. Полоскания рта раствором перекиси водорода помогут быстрее заживить образовавшиеся раны в полости рта.
В аптечных сетях можно найти готовые жидкости для полоскания рта. Однако в этом случае стоит внимательно изучить состав: если вы планируете использовать жидкость для лечения, убедитесь, что в ней нет спирта. В профилактических целях жидкости с содержанием спирта не причинят вреда.
Массаж
Массаж десен также принесет положительный эффект. Для этой процедуры можно применять сок алоэ или каланхоэ, втирая его в десны в течение 5-10 минут дважды в день. Если нет возможности использовать соки трав, их можно заменить облепиховым маслом.
В аптеке доступны специальные гели и мази для массажа десен, которые можно использовать два-три раза в день. К таким средствам относятся Дентал, Метрогил-Дента, Холисал и другие. Все они имеют схожее действие и могут эффективно помочь в уходе за деснами.
Зубная щетка
Замена зубной щетки на более мягкую может оказаться весьма полезной. Рекомендуется обновлять зубную щетку каждые три месяца, чтобы предотвратить размножение вредных микроорганизмов. При выборе зубной пасты стоит отдавать предпочтение продуктам, содержащим кальций и фтор.
Не забывайте периодически менять зубную пасту. Это крайне важно! Исследования показывают, что длительное использование одной и той же пасты может повысить риск развития рака.
Применение зубной нити после приема пищи поможет удалить остатки еды из межзубных промежутков. Это, в свою очередь, снизит вероятность образования токсинов и зубного камня.
Питание
Включите в свой рацион свежие фрукты и овощи, а также рассмотрите возможность приема витаминов, содержащих витамины С, В и К. Рекомендуется ограничить потребление продуктов с высоким содержанием углеводов, к которым в первую очередь относятся сладости, любимые многими. Также стоит избегать слишком горячей и слишком холодной пищи.
Поход к стоматологу
Посещение стоматолога для удаления зубного камня поможет предотвратить воспаление и кровоточивость десен. Рекомендуется проходить эту процедуру не реже одного раза в год, а для курильщиков оптимально – каждые шесть месяцев.
Заключение!
Если вы не увидели улучшений от самостоятельного лечения, не стоит стесняться обратиться к стоматологу. Современные технологии и передовые методы в стоматологии позволяют эффективно и безболезненно решать даже самые сложные проблемы с зубами и деснами. Опытный стоматолог всегда предложит вам новые, действенные средства для ежедневной гигиены полости рта, что в будущем поможет существенно сократить ваши расходы на лечение.

Профилактика заболеваний десен
Заболевания десен, такие как гингивит и пародонтит, являются распространенной проблемой, которая может привести к серьезным последствиям для здоровья полости рта. Профилактика этих заболеваний играет ключевую роль в поддержании здоровья десен и зубов. Вот несколько основных рекомендаций, которые помогут предотвратить кровоточивость десен и другие проблемы.
1. Регулярная гигиена полости рта
Основой профилактики заболеваний десен является тщательная гигиена полости рта. Это включает:
- Чистка зубов дважды в день: Используйте зубную щетку с мягкой щетиной и фторсодержащую зубную пасту. Чистите зубы не менее двух минут, уделяя внимание всем участкам рта.
- Использование зубной нити: Зубная нить помогает удалить налет и остатки пищи из межзубных промежутков, куда не может добраться зубная щетка.
- Полоскание рта: Используйте антисептические ополаскиватели для рта, чтобы уменьшить количество бактерий и предотвратить воспаление десен.
2. Правильное питание
Сбалансированное питание также играет важную роль в здоровье десен. Включите в свой рацион:
- Фрукты и овощи: Они богаты витаминами и минералами, особенно витамином C, который способствует укреплению десен.
- Молочные продукты: Кальций и витамин D, содержащиеся в молочных продуктах, необходимы для здоровья зубов и десен.
- Избегание сахара: Ограничьте потребление сладостей и углеводов, которые способствуют образованию налета и кариеса.
3. Регулярные визиты к стоматологу
Посещение стоматолога не реже двух раз в год для профессиональной чистки и осмотра поможет выявить проблемы на ранних стадиях. Стоматолог сможет:
- Провести профессиональную чистку зубов, удалив зубной камень и налет.
- Оценить состояние десен и выявить признаки воспаления или других заболеваний.
- Дать рекомендации по уходу за полостью рта, исходя из индивидуальных потребностей пациента.
4. Отказ от вредных привычек
Курение и чрезмерное употребление алкоголя негативно сказываются на здоровье десен. Отказ от этих привычек поможет улучшить состояние десен и снизить риск заболеваний.
5. Устранение стресса
Стресс может негативно влиять на иммунную систему, что, в свою очередь, может привести к воспалению десен. Практикуйте методы релаксации, такие как йога, медитация или физическая активность, чтобы снизить уровень стресса.
Следуя этим рекомендациям, вы сможете значительно снизить риск заболеваний десен и поддерживать здоровье полости рта на высоком уровне. Помните, что профилактика всегда проще и эффективнее, чем лечение уже возникших заболеваний.
Народные средства для лечения десен
Народные средства для лечения десен могут стать эффективным дополнением к традиционным методам лечения. Они часто используются для уменьшения воспаления, укрепления десен и улучшения общего состояния полости рта. Однако перед применением любых народных средств рекомендуется проконсультироваться с врачом, чтобы избежать возможных аллергических реакций или взаимодействий с другими лекарственными средствами.
Одним из самых популярных средств является отвар ромашки. Ромашка обладает противовоспалительными и антисептическими свойствами. Для приготовления отвара необходимо заварить 1-2 столовые ложки сухих цветков ромашки в стакане кипятка и настоять 15-20 минут. Полученный отвар можно использовать для полоскания рта 2-3 раза в день.
Еще одним эффективным средством является соль и сода. Смешав их в равных пропорциях, можно получить пасту, которая поможет в борьбе с воспалением десен. Нанесите пасту на зубную щетку и аккуратно почистите десны, избегая сильного давления. Также можно растворить 1 чайную ложку соли или соды в стакане теплой воды и использовать этот раствор для полоскания.
Масло чайного дерева также известно своими антисептическими свойствами. Добавьте несколько капель масла в зубную пасту или разведите его с растительным маслом и используйте для массажа десен. Это поможет уменьшить воспаление и предотвратить дальнейшее кровотечение.
Не стоит забывать и о алое вера. Гель алоэ вера можно наносить непосредственно на десны, чтобы уменьшить воспаление и ускорить заживление. Это растение обладает мощными противовоспалительными и заживляющими свойствами.
Кроме того, настойка прополиса является отличным средством для укрепления десен. Разведите 10-15 капель настойки в стакане воды и используйте для полоскания. Прополис помогает бороться с бактериями и способствует заживлению тканей.
Важно помнить, что народные средства не заменяют профессиональную стоматологическую помощь, особенно в случае серьезных заболеваний десен, таких как гингивит или пародонтит. Регулярные визиты к стоматологу и соблюдение правил гигиены полости рта остаются основными факторами в поддержании здоровья десен.
Симптомы, требующие немедленного обращения к врачу
Кровоточивость десен может быть симптомом различных заболеваний и состояний, которые требуют внимательного отношения и, в некоторых случаях, немедленного вмешательства специалиста. Важно знать, какие признаки указывают на необходимость обращения к стоматологу.
Первым и наиболее очевидным симптомом является наличие крови при чистке зубов или при употреблении пищи. Если вы заметили, что ваши десны кровоточат регулярно, это может свидетельствовать о воспалении, которое требует диагностики и лечения.
Другим тревожным знаком является отечность и покраснение десен. Эти симптомы могут указывать на гингивит или пародонтит — заболевания, которые, если их не лечить, могут привести к более серьезным проблемам, включая потерю зубов.
Также стоит обратить внимание на неприятный запах изо рта, который может быть вызван инфекцией или накоплением бактерий в деснах. Это состояние часто сопровождается образованием гнойных карманов, что требует немедленного вмешательства стоматолога.
Если вы заметили, что десны стали более чувствительными, и даже легкое прикосновение вызывает дискомфорт, это также является сигналом о том, что необходимо обратиться к врачу. Чувствительность может быть признаком воспалительного процесса или других заболеваний полости рта.
Не менее важным симптомом является изменение цвета десен. Если они стали более темными или приобрели синюшный оттенок, это может указывать на серьезные проблемы с кровообращением или инфекцией.
Наконец, если вы испытываете боль в деснах, особенно если она постоянная или усиливается, это также является основанием для немедленного обращения к стоматологу. Боль может быть признаком инфекции, абсцесса или других серьезных заболеваний.
В случае появления любого из перечисленных симптомов не стоит откладывать визит к врачу. Чем раньше будет поставлен диагноз и начато лечение, тем выше вероятность успешного восстановления здоровья десен и предотвращения более серьезных последствий.




